Home Products Technology Publications About Contact Request Demo
Our Core Technology

Technology

Powered by PathGPT - Our proprietary AI engine for digital pathology

AI Foundation Model

PathGPT Multimodal Engine

Powered by PathGPT multimodal engine, clinically validated in 200+ SCI-indexed studies. Achieves gold-standard robustness (κ>0.92) in histopathology analysis, enabling automated lesion localization, grading, and prognosis prediction with 300% efficiency gain over conventional methods.

  • Automated lesion localization with sub-micron precision
  • Precision grading for cancer classification
  • Prognosis prediction based on histopathological patterns
  • Real-time analysis with instant AI activation
0

SCI-indexed studies validated

κ>0.92

Gold-standard robustness

0

Efficiency gain

Core Capabilities

AI-Powered Diagnostic Intelligence

Our AI algorithms perform whole-slide analysis to automatically calculate the percentage of positive cells, distinguish tumor cells from stromal cells, and reduce variability in manual counting.

Automated Lesion Localization

AI automatically identifies and marks regions of interest, reducing manual screening time and ensuring no critical areas are missed.

Precision Grading

Standardized and consistent grading across all samples, eliminating inter-observer variability and ensuring reliable results.

Prognosis Prediction

Machine learning models analyze patterns to predict patient outcomes and guide treatment decisions with data-driven insights.

Real-time Analysis

Instant processing and results delivery, enabling faster decision-making and improved patient care workflows.

Cellular Analysis

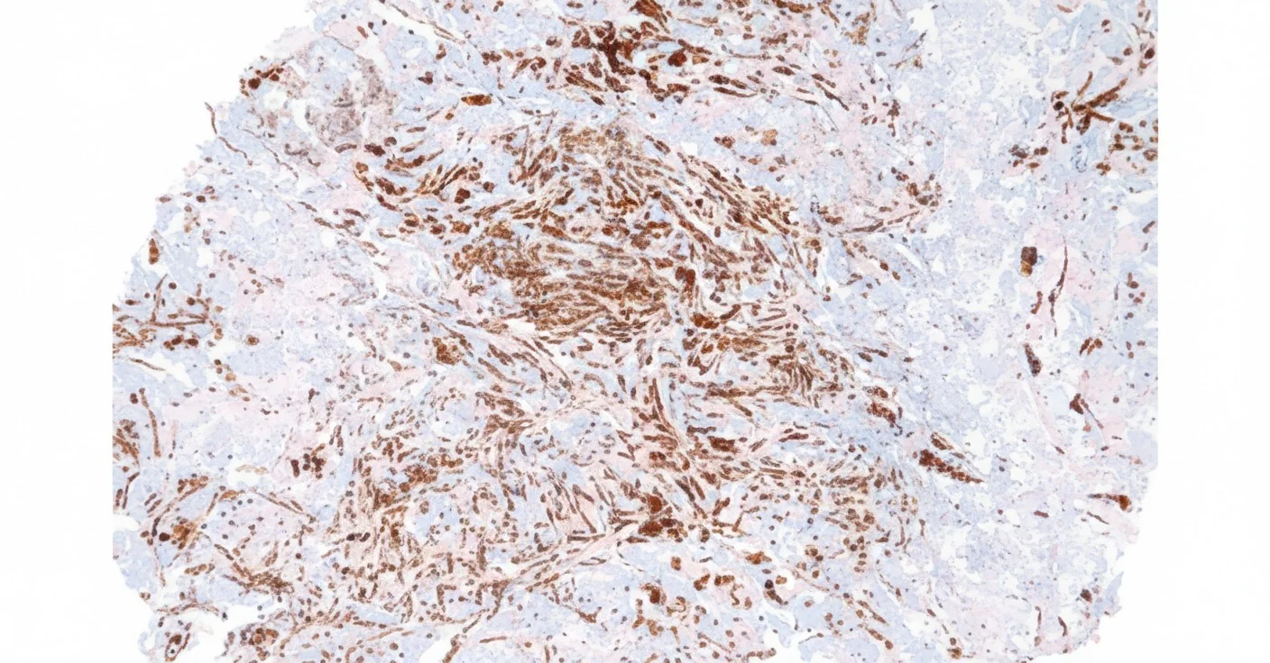
Precision Cellular Analytics

Proprietary segmentation algorithm achieves sub-micron precision (Dice>0.95 for nucleus/membrane/cytosol). AI enhancement boosts SNR by 10dB, with signal intensity histograms demonstrating raw vs. processed data comparison.

Sub-micron Precision

Dice coefficient >0.95 for accurate cell boundary detection and segmentation.

AI Enhancement

Signal-to-noise ratio boosted by 10dB through intelligent image enhancement.

Signal Intensity Histograms

Comprehensive quantitative analysis with detailed signal distribution metrics.

Cellular Segmentation Analysis

AI-Powered Cellular Segmentation

Sub-micron precision in identifying nucleus, membrane, and cytosol structures with Dice coefficient >0.95

Dice: 0.96
SNR: +10dB
Seamless Integration

Integration & Workflow

Streamlined process from sample to diagnosis, designed for maximum efficiency.

1

Slide Upload

Digital slides uploaded to the platform

2

AI Analysis

PathGPT processes and analyzes

3

Quality Control

Automated validation checks

4

Results

Comprehensive report generated

5

Doctor Review

Expert validation and approval

Trust & Security

Security & Compliance

Enterprise-grade security with global regulatory certifications.

HIPAA Compliant

Full compliance with healthcare data protection standards

ISO 27001

Information Security Management certified

NMPA Class III / CE IVDR

Medical device registration for global markets

Platform Interface

Powerful AI Analysis in Action

Experience the next generation of digital pathology with our intuitive AI-powered interface.

D-PathAI Interface
AI-Powered Dashboard
Cell Analysis
Cellular Analysis
IHC Quantification
IHC Quantification
Deep Learning Analysis
Deep Learning Models
Workflow Automation
Automated Workflow
Report Generation
Comprehensive Reports
Research Excellence

Publications

Our research has been published in leading peer-reviewed journals worldwide.

Nature Machine Intelligence

Deep Learning for Pathological Image Analysis

Novel architectures for multimodal pathology understanding with state-of-the-art performance.

2024 150+ citations
Journal of Medical Imaging

AI-Assisted Cancer Diagnosis in Digital Pathology

Clinical validation study demonstrating improved diagnostic accuracy with AI assistance.

2024 89 citations
Medical Image Analysis

Self-Supervised Learning for Histopathology

Innovative pre-training strategies for limited labeled data scenarios.

2023 124 citations
IEEE Transactions on Medical Imaging

Whole Slide Image Analysis at Scale

Efficient algorithms for processing gigapixel pathology images.

2023 76 citations
The Lancet Digital Health

AI Impact on Pathologist Workflow

Real-world study measuring efficiency gains and diagnostic improvements.

2023 203 citations
npj Digital Medicine

Multimodal AI for Precision Oncology

Integrating genomic and imaging data for personalized treatment recommendations.

2022 178 citations

Ready to Experience PathGPT?

Schedule a demo to see how our AI-powered technology can transform your pathology workflow.