Home Products Solutions Technology Publications About Contact Request Demo
English Français Deutsch Español Italiano Bahasa Indonesia 中文 Русский 日本語 한국어 العربية
AI-Powered Solutions

Solutions for Every Pathology Workflow

Transform diagnostic workflows with AI-powered analysis. Our solutions improve accuracy, reduce turnaround times, and enhance outcomes across clinical, pharmaceutical, and research settings.

Our Solutions

Tailored for Your Needs

Comprehensive AI-powered pathology solutions designed for different industries and use cases.

D-PathAI HE Clinical Assistance

Clinical Pathology

Transform diagnostic workflows with AI-powered analysis. Our clinical solutions improve diagnostic accuracy, reduce turnaround times, and enhance patient outcomes across multiple pathology specialties.

90% time reduction in analysis
29.8% increased sensitivity
CE-IVDR certified solutions
Request Clinical Demo
D-PathAI IHC Quantification

Pharma & Biotech

Accelerate drug discovery and clinical trials with advanced biomarker analysis. Our platform enables precise quantification and standardized assessment for pharmaceutical research.

500+ SCI papers
Partnerships with AstraZeneca
Roche collaboration
Discuss Biomarker Programs
Annotation Platform Collaboration

Academic & Research

Collaborate with leading institutions worldwide. Our open platform supports groundbreaking research with comprehensive tools, data sharing capabilities, and educational resources.

Open platform access
Secure data sharing
Training resources & support
Start Research Collaboration
Integrated Platform

See It in Action

Our D-PathAI platform provides an intuitive interface for AI-powered slide analysis, biomarker quantification, and report generation — all in one seamless workflow.

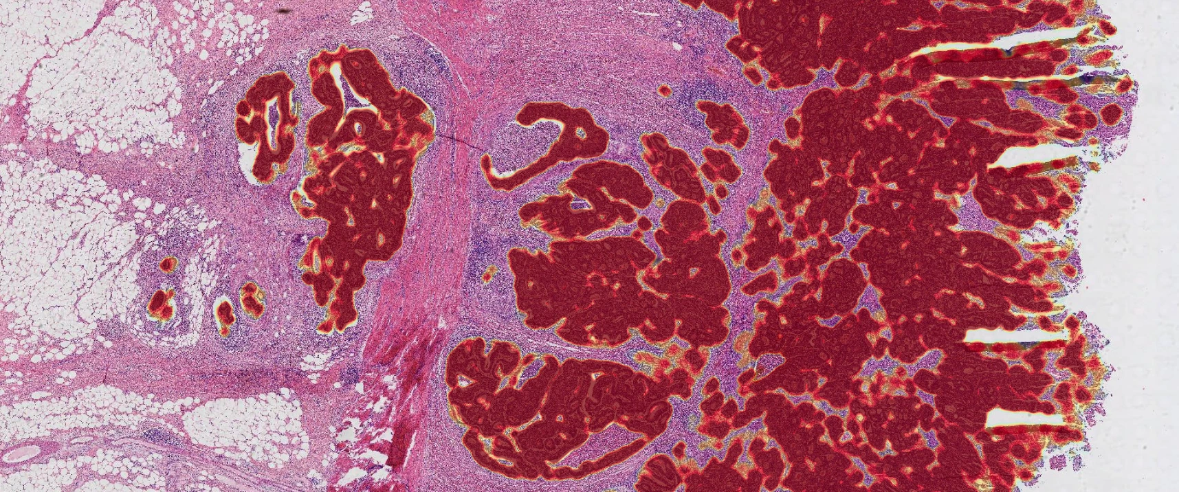
IHC Quantification Interface

IHC Quantification

Deep Learning Analysis

Deep Learning Analysis

PathGPT Platform Interface
AI-Powered
Deployment

Flexible Deployment Options

Choose the deployment model that best fits your organization's needs and infrastructure requirements.

On-Premises

Full control & security

  • Complete hardware ownership
  • Offline operation capability
  • Regulatory compliance advantage
  • Data sovereignty maintained
  • Custom integration options
Contact Sales

Cloud

Scalable & accessible

  • Zero-installation setup
  • Cross-border collaboration
  • Fully managed services
  • Automatic updates
  • Pay-as-you-scale pricing
Get Started
Impact

Proven Results

Our solutions have made a significant impact across the global healthcare and research community.

0

Partner Hospitals

0

SCI Papers

0

Invention Patents

0

Registration Certificates

Trusted by leading institutions worldwide

Ready to Transform Your Pathology Workflow?

Get in touch with our team to discuss how DiPath's AI-powered solutions can benefit your organization.