Home Products Solutions Technology Publications About Contact Request Demo
English Français Deutsch Español Italiano Bahasa Indonesia 中文 Русский 日本語 한국어 العربية
Our Core Technology

Technology

Powered by PathGPT - Our proprietary AI engine for digital pathology

AI Foundation Model

PathGPT Multimodal Engine

Powered by PathGPT multimodal engine, clinically validated in 500+ SCI papers. Achieves gold-standard robustness (κ>0.92) in histopathology analysis, enabling automated lesion localization, grading, and prognosis prediction with 300% efficiency gain over conventional methods.

  • Automated lesion localization with sub-micron precision
  • Precision grading for cancer classification
  • Prognosis prediction based on histopathological patterns
  • Real-time analysis with instant AI activation
0

SCI papers validated

κ>0.92

Gold-standard robustness

0

Efficiency gain

PathGPT multimodal reasoning workflow

Enlarged PathGPT workflow view with higher-contrast framing for clearer reasoning-path visualization.

Core Capabilities

AI-Powered Diagnostic Intelligence

Our AI algorithms perform whole-slide analysis to automatically calculate the percentage of positive cells, distinguish tumor cells from stromal cells, and reduce variability in manual counting.

Automated Lesion Localization

AI automatically identifies and marks regions of interest, reducing manual screening time and ensuring no critical areas are missed.

Precision Grading

Standardized and consistent grading across all samples, eliminating inter-observer variability and ensuring reliable results.

Prognosis Prediction

Machine learning models analyze patterns to predict patient outcomes and guide treatment decisions with data-driven insights.

Real-time Analysis

Instant processing and results delivery, enabling faster decision-making and improved patient care workflows.

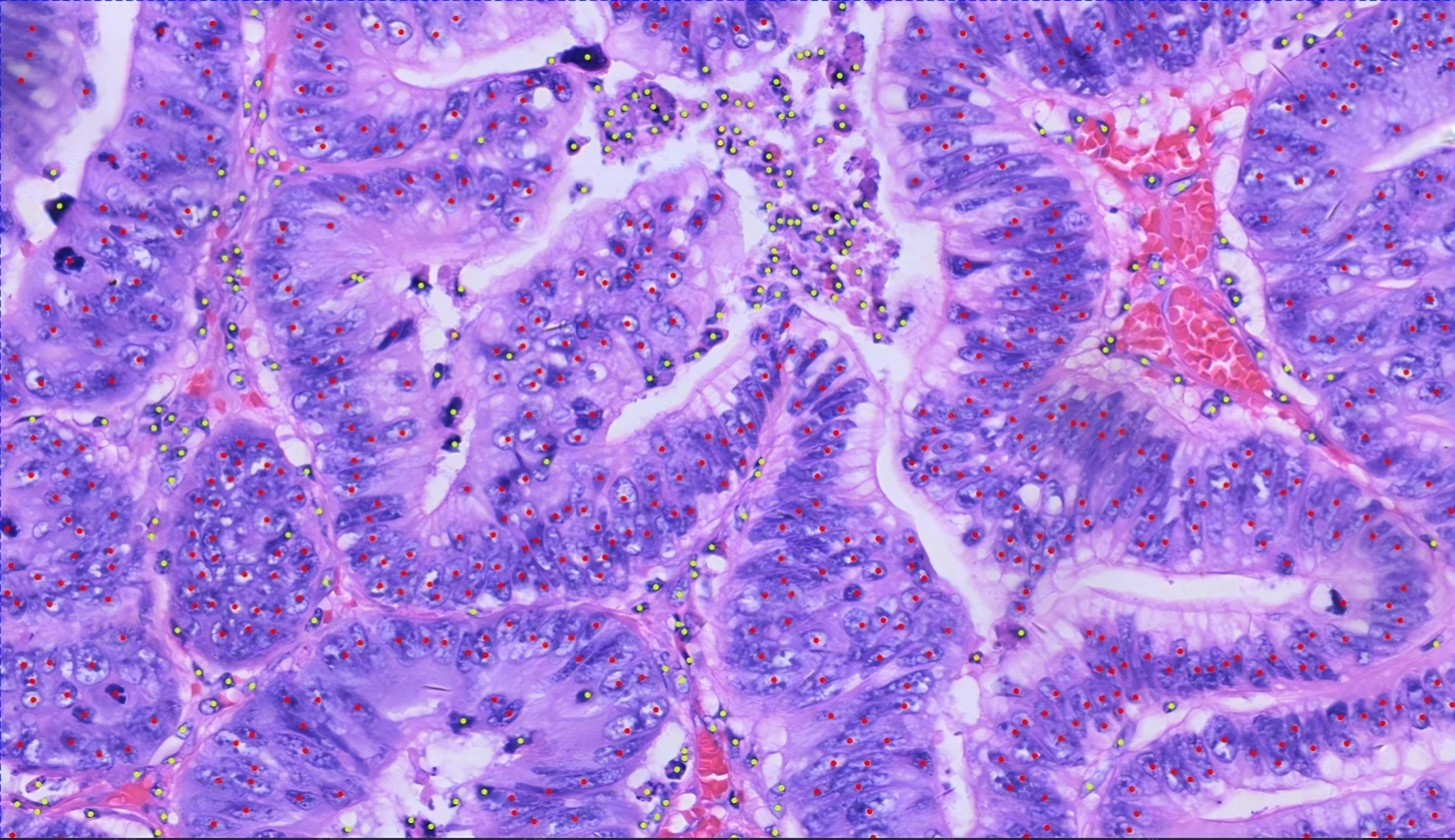
Cellular Analysis

Precision Cellular Analytics

Proprietary segmentation algorithm achieves sub-micron precision (Dice>0.95 for nucleus/membrane/cytosol). AI enhancement boosts SNR by 10dB, with signal intensity histograms demonstrating raw vs. processed data comparison.

Sub-micron Precision

Dice coefficient >0.95 for accurate cell boundary detection and segmentation.

AI Enhancement

Signal-to-noise ratio boosted by 10dB through intelligent image enhancement.

Signal Intensity Histograms

Comprehensive quantitative analysis with detailed signal distribution metrics.

Cellular Segmentation Analysis

AI-Powered Cellular Segmentation

Sub-micron precision in identifying nucleus, membrane, and cytosol structures with Dice coefficient >0.95

Dice: 0.96
SNR: +10dB
Seamless Integration

Integration & Workflow

Streamlined process from sample to diagnosis, designed for maximum efficiency.

1

Slide Upload

Digital slides uploaded to the platform

2

AI Analysis

PathGPT processes and analyzes

3

Quality Control

Automated validation checks

4

Results

Comprehensive report generated

5

Doctor Review

Expert validation and approval

Trust & Security

Security & Compliance

Enterprise-grade security with global regulatory certifications.

HIPAA Compliant

Full compliance with healthcare data protection standards

ISO 27001

Information Security Management certified

NMPA Class III / CE IVDR

Medical device registration for global markets

Platform Interface

Powerful AI Analysis in Action

Experience the next generation of digital pathology with our intuitive AI-powered interface.

D-PathAI Interface
AI-Powered Dashboard
Cell Analysis
Cellular Analysis
IHC Quantification
IHC Quantification
Deep Learning Analysis
Deep Learning Models
Workflow Automation
Automated Workflow
Report Generation
Comprehensive Reports
Research Excellence

Publications

Selected entries below are copied directly from our Publications page.

TMI

ToPoFM: Topology-Guided Pathology Foundation Model for High-Resolution Pathology Image Synthesis with Cellular-Level Control

Li, J., Zhu, C., Zheng, S., Chen, P., Sun, Y., Li, H., Yang, L. · IEEE Trans. Medical Imaging (IF 11.3)

2025
AAAI

PathAsst: A Generative Foundation AI Assistant towards Artificial General Intelligence of Pathology

Sun, Y., Zhu, C., Zheng, S., Zhang, K., Sun, L., Shui, Z., Zhang, Y., Li, H., Yang, L. · AAAI 2024 (CCF-A, Oral) · 59 cited

2024
ECCV

PathMMU: A Massive Multimodal Expert-Level Benchmark for Understanding and Reasoning in Pathology

Sun, Y., Wu, H., Zhu, C., Zheng, S., Chen, Q., Zhang, K., Zhang, Y., Wan, D., Lan, X., ... · ECCV 2024 (CCF-A, Oral) · 7 cited

2024
CVPR

Task-specific Fine-tuning via Variational Information Bottleneck for Weakly-supervised Pathology WSI Classification

Li, H., Zhu, C., Zhang, Y., Sun, Y., Shui, Z., Kuang, W., Zheng, S., Yang, L. · CVPR 2023 (CCF-A) · 75 cited

2023
Nature Mach. Intell.

Pathologist-level Interpretable Whole-slide Cancer Diagnosis with Deep Learning

Zhang, Z., Chen, P., McGough, M., ..., Cui, L., ..., Yang, L. · Nature Machine Intelligence

2019
ECCV

WSI-VQA: Interpreting Whole Slide Images by Generative Visual Question Answering

Chen, P., Zhu, C., Zheng, S., Li, H., Yang, L. · ECCV 2024 (CCF-A) · 9 cited

2024

Ready to Experience PathGPT?

Schedule a demo to see how our AI-powered technology can transform your pathology workflow.